A Doctor’s Belief May Influence A Patient’s Response

How your health care provider interacts with you is important. Their style can shape how you feel about your treatment. A new study found that people experienced less pain when the treatment provider expected a pain reliever to work. This may have been due, in part, to the provider’s facial expressions. The findings were published… Continue reading A Doctor’s Belief May Influence A Patient’s Response

Chronic Illness and Mental Health

Depression is a real illness. Treatment can help you live to the fullest extent possible, even when you have another sickness. According to the National Institute of Mental Health, it’s common to feel sad or discouraged after a heart attack, a cancer diagnosis, or if you are trying to manage a chronic condition like pain.… Continue reading Chronic Illness and Mental Health

Understanding Adverse Drug Reactions

For most treatable health conditions, patients expect to take at least one prescription drug if not multiple depending on the condition or the severity of the health issue being treated. Most people, however, don’t anticipate experiencing any sort of adverse drug event (ADE). It is difficult to imagine a drug injuring someone in the process… Continue reading Understanding Adverse Drug Reactions

Are You Taking Your Medicine?

Researchers from Johns Hopkins are at work on a program that physicians can use to identify “nonadherent” patients – those who are not fully complying with their doctor’s orders. Nonadherence costs the health care system billions of dollars per year. The study appeared in the December issue of Pediatric Nephrology. It was conducted in a… Continue reading Are You Taking Your Medicine?

Study: Having More than One Outpatient Orthopedic Procedure in A Day Is Safe

Having more than one outpatient orthopedic procedure on the same day is safe for patients, according to a new study. The findings were reported in the December 19,2018 issue of the The Journal of Bone and Joint Surgery. “Our data suggest that briefly overlapping surgery is a safe practice in the ambulatory orthopedic surgery center,”… Continue reading Study: Having More than One Outpatient Orthopedic Procedure in A Day Is Safe

Why Patients Lie to Their Doctors

When your doctor asks how often you exercise, do you give her an honest answer? How about when she asks what you’ve been eating lately? If you’ve ever stretched the truth, you’re not alone. 60 to 80 percent of people surveyed in 2018 led by by University of Utah Health researchers in Salt Lake City… Continue reading Why Patients Lie to Their Doctors

When Blood Transfusions Can Be Fatal

Although blood is meant to save lives in emergency situations, that might not always be the case. Major trauma victims who receive transfusions of packed blood 22 days or older may face an increased risk of death within 24 hours, according to a new study in Annals of Emergency Medicine. Following a major trauma, the… Continue reading When Blood Transfusions Can Be Fatal

Strengths and Weaknesses of Emergency Departments and Urgent Care

Yelp reviews reveal that emergency departments are viewed as being higher quality but lacking in service as compared to urgent care centers, which patients rate the opposite That is the rinding of  a 2018 study from researchers in the Perelman School of Medicine at the University of Pennsylvania. The study results, published this month in… Continue reading Strengths and Weaknesses of Emergency Departments and Urgent Care

The Risky Business of Medical Procedures

How cautious are you in deciding on a medical treatment? In exploring that question, a team of European researchers found that people underestimate the risks of treatments ranging from minor drugs to major and overestimate the benefits. Published in the journal Risk Analysis, the study of 376 adults was led by Professor Yaniv Hanoch from… Continue reading The Risky Business of Medical Procedures

Is Your Medicine Cabinet Ready for Winter?

We spend more time indoors during fall and winter, which means everyone in the family is at greater risk for bringing home plenty of germs. The common cold is a leading cause of missed days from school. Parents should brace themselves for cuts, bites, scrapes and other maladies “We buy jackets and decorate our homes… Continue reading Is Your Medicine Cabinet Ready for Winter?

Responding to a Consumer Drug Recall

The summer of 2018, American consumers saw a number of larger drug recalls, including the contaminated valsartan medication found in July and the hydrochlorothiazide tablets that were mislabeled in August. These two medications in particular impacted thousands of consumers with high blood pressure, and it’s worth noting that they also raised many general questions about… Continue reading Responding to a Consumer Drug Recall

The Dangers of Mixing Prescription and OTC Drugs with Alcohol

There’s a reason why prescription and some over the counter medication packages are marked with a “Do not mix with alcohol”. It’s dangerous. Mixing medicine and alcohol can have all kinds of negative side effects. Unfortunately, many people overlook this. Maybe they’re having too much fun at a party and decide to pop a few… Continue reading The Dangers of Mixing Prescription and OTC Drugs with Alcohol

Very Surprising Uses for Botox That Have Nothing to Do with Forehead Wrinkles

When most people think of Botox the first thing that usually comes to mind is wrinkle reduction. Indeed, Botox is the world’s most popular treatment for eradicating wrinkles and fine lines. The toxin is specifically FDA approved for treating frown lines between the eyebrows (glabellar lines) and lines around the eyes (crow’s feet). In addition to… Continue reading Very Surprising Uses for Botox That Have Nothing to Do with Forehead Wrinkles

Hundreds of Patients with Undiagnosed Diseases Find Answers

More than 100 patients afflicted by mysterious illnesses have been diagnosed through a network of detective-doctors who investigate unidentified diseases, reports a study conducted by scientists at the Stanford University School of Medicine and multiple collaborating institutes. The long-awaited diagnoses are the fruits of the Undiagnosed Disease Network, a program created by the National Institutes… Continue reading Hundreds of Patients with Undiagnosed Diseases Find Answers

Survey Finds Significant Gaps in Doctor-Patient Conversations

Many Americans experience a disconnect between how they personally define health and how they talk about their health with their doctors. Nearly half (45%) of U.S. adults who have a primary care physician (PCP) say they wish they talked with their doctor more about why they want to be healthy, and a majority of younger… Continue reading Survey Finds Significant Gaps in Doctor-Patient Conversations

Would You Record Your Doctor Visit?

Most people have never recorded a visit with their doctor, while 28 percent of doctors have done so for their patients, according to a new study. Healthcare researchers have speculated that with more than 75 percent of Americans owning a smartphone, the practice of recording a doctor visit is increasing. The study, from The Dartmouth… Continue reading Would You Record Your Doctor Visit?

Urgent Care Visits Increase as Emergency Room Visits Fall

Thanks to convenience and cost, more and more people are visiting urgent care centers for non-critical illnesses or conditions, while far fewer people are going to hospital emergency departments, according to new research. The study, published in JAMA Internal Medicine, was conducted by Brigham and Women’s Hospital researchers. The analysis looked at patterns among private… Continue reading Urgent Care Visits Increase as Emergency Room Visits Fall

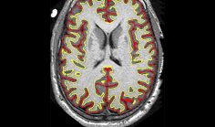
Study Finds Multiple Sclerosis Drug Slows Brain Shrinkage

Results from a clinical trial of more than 250 participants with progressive multiple sclerosis (MS) revealed that ibudilast was better than a placebo in slowing down brain shrinkage. The study also showed that the main side effects of ibudilast were gastrointestinal and headaches.  The study was supported by the National Institute of Neurological Disorders and… Continue reading Study Finds Multiple Sclerosis Drug Slows Brain Shrinkage